Osteoarthritis Treatment
in London
Safe and Natural Care for Osteoarthritis at Spineworks
Osteoarthritis is one of the most common diseases that affects joints and other connective tissues. It’s a painful disorder when the pads that cushion your bones wear, causing them to rub against each other rather than the normal smooth gliding that usually occurs.
This friction will irritate and inflame the soft tissues around your joints, causing pain, swelling, and stiffness. Several treatment options are available for osteoarthritis. Here is how Spineworks will help you treat osteoarthritis:
- Evaluate your symptoms in conjunction with your overall health history
- Identify any joint or postural misalignment
- Rule out any underlying causes
- Then administer the right combination of safe, non-surgical treatments
Understanding Osteoarthritis and Your Body's Response
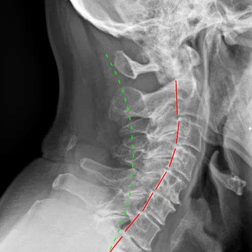
Osteoarthritis can affect your spine, hips, knees, shoulders, hands or any joint in your body. While traditional treatments often focus solely on pain medication, our approach addresses the mechanical aspects of the condition – how your joints move, align, and function. When joints aren’t moving properly, it can accelerate wear and tear, leading to increased pain and stiffness. X-rays are commonly used to identify the severity of the osteoarthritis and joint misalignments.
The connection between your spine and joint health is crucial. Your spine houses the nervous system that controls every joint in your body. When your spine is properly aligned, it helps optimize nerve function and reduce inflammation throughout your body. This is why many of our patients notice improvements not just in their arthritic joints, but in their overall mobility and comfort levels.
Understanding Osteoarthritis and Your Body’s Response






Safe and Effective Care for people with Arthritis at Spineworks
- Soft tissue therapy to ease muscle tension and improve circulation
- Therapeutic exercises to build strength and stability
- Cold laser treatment to reduce inflammation and improve deep tissue healing
- Supplements to support bone and tissue health
Your Journey to Better Joint Health
What Our Patients Say
Trusted Chiropractic Care
If you have been diagnosed with osteoarthritis or have similar symptoms, we’d love to help. Our success rate in caring for people with this type of condition has made us one of the most trusted chiropractic clinics in the London area.
Schedule your consultation today at Spineworks. Contact us at (020) 7793 7454. We proudly serve patients from London and surrounding communities.