Chiropractic Care for Headaches & Migraines in London
How You Can Achieve Relief from Headaches with Spineworks
According to the World Health Organization, headache disorders are among the most common disorders of the nervous system. Headaches and migraines can manifest in many ways – from a dull, persistent ache to debilitating episodes complete with nausea, light sensitivity, and visual disturbances. While many people reach for pain medication, there are other options for relief including chiropractic care and other natural treatments that get to the root cause.
When your spine shifts out of its proper position due to injury, daily stress, poor posture, or other factors, it can cause irritation on the surrounding nerves. These irritated nerves send signals to your muscles to tighten, creating a chain reaction that can trigger headaches and migraines. At Spineworks, we understand that your headache is more than just pain – it’s your nervous system signaling an area of dysfunction and an inability to adapt to the triggers all around us.
Understanding Headaches & The Nervous System Connection
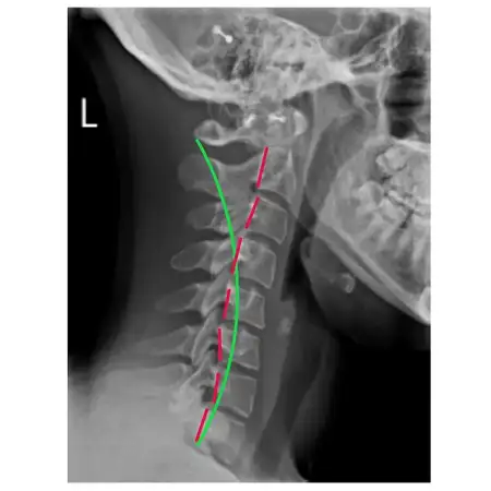
Think of your upper neck like a control center for your head and neck. The top two bones in your neck, called the Atlas (C1) and Axis (C2), are unique – they’re specially designed to allow your head to move freely in all directions. But here’s the critical part: This area is close to where your brainstem passes through, connecting your brain to the rest of your nervous system. When these vertebrae aren’t properly aligned (what we call an upper cervical subluxation), it can create a ripple effect throughout your body.
It’s like having a kink in a garden hose – when these bones are subluxated (blocked or misaligned), they can create interference on nerves, affect blood flow to your head, and create tension in your neck muscles. This disruption often leads to different types of headaches, including:
- Tension headaches that feel like a tight band around your head
- Migraines with sensitivity to light and sound
- One-sided headaches that may affect your vision
- Headaches that start at the base of your skull
- Pain that radiates from your neck into your head
Advanced Headache Treatment at Spineworks
We don’t just mask your headache symptoms with medication – we look for the underlying cause. Our approach begins with a thorough examination of your neck and spine, paying special attention to the alignment of your upper cervical vertebrae.
- Carefully realigning your upper cervical spine
- Improving your posture to prevent future problems
- Improving nervous system function so your body operates at a higher level
Your Path to Headache Relief in London
Getting better isn’t just about treatment – it’s about understanding this condition and being actively involved in your healing process. Many of our patients notice improvement in their headache symptoms within their first few visits, but lasting change takes time. It’s helpful to develop healthy habits that can help prevent headaches, such as:





The fascinating thing about headaches is that they’re often like warning lights on your car’s dashboard – they’re telling you that your nervous system needs attention. By addressing the underlying neck alignment issues, many of our patients not only find relief from their headaches but also experience improvements in their overall health, including better sleep, increased energy, and reduced stress levels.
Remember, you don’t have to live with chronic headaches or rely on pain medication forever. There’s hope for natural, lasting relief through proper spinal care and alignment. Our team at Spineworks is here to help you understand your condition and guide you toward a life with fewer headaches and more enjoyment.
What Our Patients Say
FROM DAILY MIGRAINES TO ZERO IN ONE VISIT.
My experience with Spineworks has been priceless. I’ve basically got my life back, and that is majorly thanks to them! Coming out of a two-year burnout, I couldn’t do anything. Life, work, nothing- I was having on average 4 severe migraines a week. From my very first adjustment- ZERO.
It sounds too good to be true, but it is. That in itself is all there really needs to be said. From multiple migraines a week, to NONE after ONE visit. Which means I have finally been able to get back into the swing of life, work, socials, hobbies- everything. I have now been a client here for nearly a year and have only had 2 migraines in that entire time since starting. I continued going and as my resistance & strength built, we slowly reduced the frequency of my visits, while keeping the migraines at bay.
The team is incredible at what they do, and then I haven’t even started about just how lovely they all are. You’re always greeted with a smile and a chat, and they truly care about their clients. On top of that, they are very understanding and accommodating when it comes to scheduling & re-scheduling, which has been so great and so helpful with my irregular, fluctuating schedule.
Long story short, the team at Spineworks are freaking miracle workers and I could not recommend them enough.
Luc, Josh, Ant, Gabi, Kat, Yemi, Andrea, Jade, Anil, Yusuf- you’re all badasses.
Mic drop.
Emilia Moscovich
Trusted Chiropractic Care
Headaches and migraines don’t need to control your life. Our success rates in caring for people with chronic headaches have made us one of the most trusted chiropractic clinics in the London area.
Schedule your consultation today at Spineworks. Contact us at (020) 7793 7454. We proudly serve patients from London and surrounding communities.